-
- 달성군이장연합회 정기총회 개최
- 달성군이장연합회는 군청 군민소통관에서 2019 달성군이장연합회 정기총회를 개최했다.이날 정기총회는 정의섭 달성군 이장연합회 사무처장의 사회로 1부와 2...
- 2019-12-26
-
- 양성이 평등한 여성친화도시 ‘달성군’ 신규 지정돼
- 달성군이 지난 16일 여성가족부가 지정하는 ‘여성친화도시’에 신규 지정됐다.여성친화도시는 양성이 함께 만드는 지역정책, 일상생활에서 체감할 수 있는 ...
- 2019-12-26
-
- 달성군의회 의원 연구단체 ‘정책성장연구회’ 한일정보초청강연 개최
- 달성군의회 의원 연구단체 ‘정책성장연구회’(대표 김보경)에서는 지난 18일 고령사회 대비를 위한 한일 정보교환 강연을 개최했다.지난 9월 27일에 구성된 ...
- 2019-12-26
-
- 달서구의회, 달서구 도시동물 지원정책 토론회 개최
- 달서구의회는 지난 23일 달서구의회 대회의실에서 달서구 도시동물 지원정책 토론회를 개최했다. 이날 토론회는 도시동물 관련 전문가, 활동가의 의견을 듣고...
- 2019-12-26
-
- 달서구 체육유공자 시상식 열려
- 달서구 생활체육회가 지난 19일 달서구청 대강당에서 2019년 유공자 시상식을 가졌다.이날 시상은 2019년 한 해 달서구생활체육의 저변확대와 구민들의 건강증...
- 2019-12-26
-
- 푸른방송 문화센터 오카리나회원 성탄절 자선 공연
- 푸른방송 문화센터 오카리나회원들이 성탄절을 맞아 17일 자선공연을 펼쳤다.오카리나 앙상블 ‘노이’팀으로 활동하는 회원들은 병원에서 고생하는 환우들...
- 2019-12-26
-
- [지역민 동정]
- ㈜명성전력 윤영호 대표이사 이웃사랑 후원금 전달 ㈜명성전력 윤영호 대표이사가 지난 17일 연말을 맞아 동절기 저소득취약계층을 지원해 달라며 이웃사랑 ...
- 2019-12-26
-
- 달서구 보건소-대구보훈병원 ‘찾아가는 종합건강상담실’ 열어
- 달서구는 지난 18일 달서소방서에서 달서구 보건소와 대구 보훈병원이 협업해 국민의 생명과 안전을 위해 헌신하는 소방공무원 대상으로 ‘찾아가는 종합건...
- 2019-12-26
-
- 대구시 신청사 달서구 (옛)두류정수장 부지 결정
- 대구시 신청사건립추진공론화위원회는 12월 20~22일까지 2박 3일간 진행된 신청사 후보지 4곳에 대한 시민참여단의 평가 결과, 달서구 (옛)두류정수장 부지로 결...
- 2019-12-26
-
- 계명대 동산병원 대장암팀 연구논문, 미국내시경복강외과학회지 12월호 게재
- 계명대학교 동산병원 대장암팀의 ‘폐쇄성 결장암에 있어서 스텐트 삽입술 후 복강경수술과 개복술의 종양학적 결과: 다기관 후향적 연구(책임저자 백성규, ...
- 2019-12-19
-
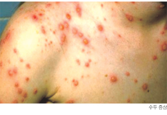
- 겨울철 수두 환자 지속 증가
- 예방접종, 기침예절, 올바른 손씻기 등 개인위생 준수 당부질병관리본부는 겨울철 수두 환자 증가에 따라 학부모, 교사의 감염예방을 위한 적극적인 협조를 ...
- 2019-12-19
-
- 국내 액상형 전자담배 유해 의심성분 분석결과 발표
- 대마유래성분(THC) 불검출, 비타민E 아세테이트 일부 미량 검출 식품의약품안전처는 지난 10월 23일 정부 합동으로 발표한 ‘액상형 전자담배 안전관리 대책’의 일환으로, 국내 유통되는 153개 액상형 전자...
- 2019-12-19
- 인기글더보기
-
-
- 2025 수성그린 전국 파크골프선수권대회 성료
- 3세대 생활스포츠로서 파크골프 문화의 육성과 보급, 행복수성구민과 파크골프 동호인들의 친선과 화합을 다지기 위하여 마련된 ‘2025 수성그린 전국 파크골프선수권대회’가 11월 7(금)~8(토) 2일간 대구 수성구 팔현파크골프장 및 수성파크골프장(대구시 수성구 팔현길 88-40 및 88-86)에서 개최됐다.▲ 내빈과 선수, 심판이 함께 모여 대...
-
- 작은 공간에서 큰 꿈을...달서구 ‘용산꿈땅센터’ 개소
- 달서구신당종합사회복지관은 지난 5일(수) 달서구 용산동 와룡로45길 72-6(용산중학교 앞)에서 ‘용산꿈땅센터’ 개소식을 갖고 본격적인 운영에 들어갔다.이날 개소식에는 이태훈 달서구청장, 달서구의회 의원, 지역 기관·단체 관계자 및 후원자 등이 참석해 센터의 출발을 함께 축하했다.용산꿈땅센터는 기존 복지관 접근이 어...
-
- 2025 인천아시아드배 전국 파크골프대회 성료
- 2025 인천아시아드배 전국 파크골프대회가 2차례의 예선을 거친 후 결선이 11월 13(목)~14(금) 2일간 인천 아시아드주경기장 파크골프장(인천 서구 연희동 826 아시아드주경기장)에서 개최됐다. ▲참석한 내빈들이 힘찬 파이팅으로 선수들을 격려하고 있다. 〔사진=인천광역시파크골프협회〕 선수 1,200명을 비롯해 임원 및 진행요원 등 총 1,3...
-
- 제15회 대한파크골프협회장기 전국 파크골프대회 성료
- 제15회 대한파크골프협회장기 전국 파크골프대회가 11월 6(목)~7(금) 2일간 충남 청양 금강변파크골프장(청양군 청남면 왕진리 367)에서 개최됐다.▲참석한 내빈들이 힘찬 파이팅으로 선수들을 격려하고 있다. 〔사진=대한파크골프협회〕 선수 532명을 비롯해 임원 및 위원, 심판, 직원 및 운영요원 등 700여 명이 참가한 이 대회는 (사)대한파크..
-
- 닫혔던 공간, 도심 속 숲으로...‘Re:화원’ 정식 개방
- 달성군은 대구교도소 이전으로 방치됐던 (구)대구교도소 후적지를 ‘Re:화원(부제: 닫힌 시간을 지나, 다시 피어나는 숲)’으로 재정비하고 12월 공식 개방한다.※ 25,460㎡ 부지, 산책로·잔디광장 등 조성Re:화원’은 주민 휴식과 편의를 위해 2만5,460㎡ 규모로 조성됐다. 이 중 1만 4,315㎡는 녹지공간, 1만 1,145㎡는 204면 규모 주차..
- 최신글더보기
-
-
- 계명대 남민우 교수팀, 유기태양전지 안정성 100배 높인 기술 개발
- 계명대학교 남민우 교수 연구팀이 차세대 유기태양전지의 구조 안정성을 대폭 향상시키는 새로운 형태 제어 기술을 개발했다. 연구 성과는 국제 학술지 Advanced Energy Materials에 게재됐다.연구팀은 비풀러렌 수용체 비율을 높인 ‘NM-BHJ’ 구조를 도입해 3차원 결정 네트워크를 형성함으로써 전하 이동도를 개선하고 구조적 변형을 억제..
-
- 유가 파크골프클럽, 박동수 신임 회장 취임
- 유가 파크골프클럽은 지난 1일(월) 회원 40여 명이 참석한 가운데 회장 이·취임식을 열어 김경융 전임 회장이 이임하고 박동수 신임 회장이 공식 취임했다.박동수 회장은 취임사에서 “100세 시대에 건강한 노후를 위해 파크골프를 생활 스포츠로 확산하고, 더 나은 운동 환경을 만들겠다.”며 “회원 간 협력을 강화해 모두가 ..
-
- 달서구의회 ‘인사교육팀’ 신설…의정역량 강화
- 달서구의회는 의정활동의 전문성과 체계적 지원을 강화하기 위해 의회사무국 내에 ‘인사교육팀’을 신설한다.2022년 지방자치법 전부개정 이후 지방의회의 역할이 확대됨에 따라, 달서구의회는 조직을 재정비하고 기능별 업무를 세분화해 의원과 직원의 역량을 높이는 방향으로 개편을 추진한다.신설되는 인사교육팀은 직원 인사&mi...
-
- 정창근 의원, 겨울철 결빙구간 열선 설치 촉구
- 정창근 의원이 지난달 27일(목) 제316회 달서구의회 정례회 1차 본회의 5분 발언에서 겨울철 결빙 위험 구간에 대한 열선 설치와 안전 대책 마련을 촉구했다. 그는 성당동 남덕교회 오르막길, 두류동 파도고개, 신흥초 통학로 등 사고 위험 지역을 지적하며, 총사업비 15억 원 규모 사업을 특별교부세와 교부금으로 추진할 것을 제안했다. 정 의.
-
- 정순옥 의원, 노후 복지관 리모델링 시급
- 정순옥 의원은 지난달 27일(목) 제316회 달서구의회 정례회 1차 본회의 5분 자유발언에서 30년 이상 된 복지관의 노후화로 주민 안전과 복지 접근성이 위협받고 있다고 지적했다. 정 의원은 “독거노인, 은둔형 가구, 반려동물 가구 등을 고려한 맞춤형 공간과 프로그램 개선이 필요하다.”고 강조했다. 반려동물 친화 공간, 공유 주방, 유...